
Cervical intraepithelial neoplasia (CIN) is a precancerous condition in which abnormal cells grow on the surface of the cervix. The cervix is the opening between the vagina and the uterus in women. Another name for CIN is cervical dysplasia.
Cervical intraepithelial neoplasia may be classified according to how much epithelial tissue is affected:

CIN does not usually cause any symptoms. Abnormal cells are found only after a routine Pap smear.
CIN usually occurs after a woman becomes infected with the human papilloma virus (HPV). This is a virus that is spread through sexual contact. In many cases, the immune system by itself will get rid of the virus. Other risk factors include:
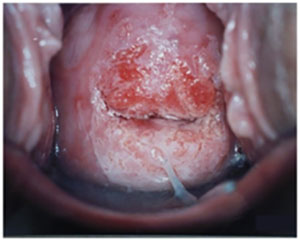
Moderate DysplasiaYour doctor will decide your treatments. Colposcopy guided treatment required in specialist centre.
+91 74396 18311
+91 81005 85462
54.BR.B. G.T. Road,
P.O. - Bhadrakali,
PS- Uttarpara,
Dist.- Hooghly,
Pin-712232